
院長高橋宙希
根管治療は、歯の内側にある神経や血管を治療するものです。
歯の中にある神経や血管に虫歯菌が入ると強い痛みや腫れを引き起こします。
歯の神経や血管を取り除き、根管内を丁寧に清掃し、消毒と補強を行い歯を保護します。
根管治療を行うことで大切な歯を抜かずに残すことができ、痛みや腫れも除去することができます。




根管治療は、歯の内側にある神経や血管を治療するものです。
歯の中にある神経や血管に虫歯菌が入ると強い痛みや腫れを引き起こします。
歯の神経や血管を取り除き、根管内を丁寧に清掃し、消毒と補強を行い歯を保護します。
根管治療を行うことで大切な歯を抜かずに残すことができ、痛みや腫れも除去することができます。
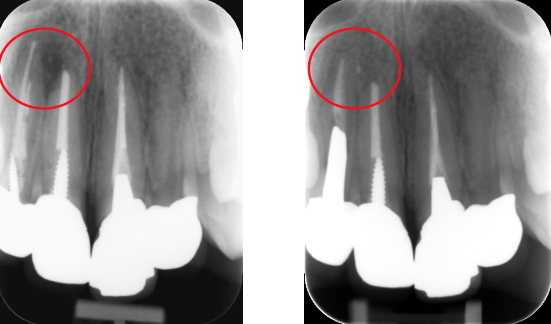
ラバーダムとは、根管治療対象の歯だけを出して唾液が入るのを防ぐゴム性のシートになります。
ラバーダムを使用することで口腔内を清潔で乾燥した状態に保つことができるので、
無菌的な治療が可能になり根管治療の成功率が飛躍的に向上します。


ラバーダムとは、根管治療対象の歯だけを出して唾液が入るのを防ぐゴム性のシートになります。
ラバーダムを使用することで口腔内を清潔で乾燥した状態に保つことができるので、
無菌的な治療が可能になり
根管治療の成功率が飛躍的に向上します。

日本と海外における
根管治療成功率の比較

先代である父は20年以上前、日本で歯科用顕微鏡を使用して
治療を行っている歯科医院が少なかった頃から、
ラバーダムを装着し、歯の根っこの治療を行っていました。
先見性のある父に教えられてきたことをもとにラバーダムを使用した根管治療を提供しています。
ラバーダムを使用するメリット
先精密な根管治療で大切な歯を守るのはラバーダムだけではありません。
その他の設備によっても変わってきます。精密な根管治療を可能にしている当院の医療設備について紹介します。
マイクロスコープとは肉眼では見えない箇所を拡大して観察できる歯科用顕微鏡です。
歯科用の顕微鏡で肉眼ではわからない歯の状況を確認することで、適切な治療が可能となります。
歯科用CTとは一般の医療用CTを歯科治療用に特化した装置です。
当院ではこの歯科用CTを使用して三次元で歯の構造を把握します。
任意の角度や位置から歯・顎骨を確認することもできるので治療の精度が大幅に向上します。
世界でもっとも厳しい基準を設けている、ヨーロッパ基準クラスB規格のオートクレーブを使用して滅菌できる器具は全て滅菌しています。使用する器具が常に綺麗な状態に保たれているので根管内へ感染することなく治療することができます。
| 精密根管治療(1本)> | 大臼歯 | 132,000円 |
|---|---|---|
| 小臼歯 | 132,000円 | |
| 前歯 | 99,000円 | |
| つめ物 (1歯) | 33,000円 ~ 110,000円 料金は使用する素材によって変動します。 | |
| かぶせ物 (1歯) | 88,000円 ~ 143,000円 料金は使用する素材によって変動します。 | |
| 精密根管治療(1本)> | |
|---|---|
| 大臼歯 | 132,000円 |
| 小臼歯 | 132,000円 |
| 前歯 | 99,000円 |
| つめ物 (1歯) | |
| 33,000円 ~ 110,000円* | |
| かぶせ物 (1歯) | |
| 88,000円 ~ 143,000円* | |
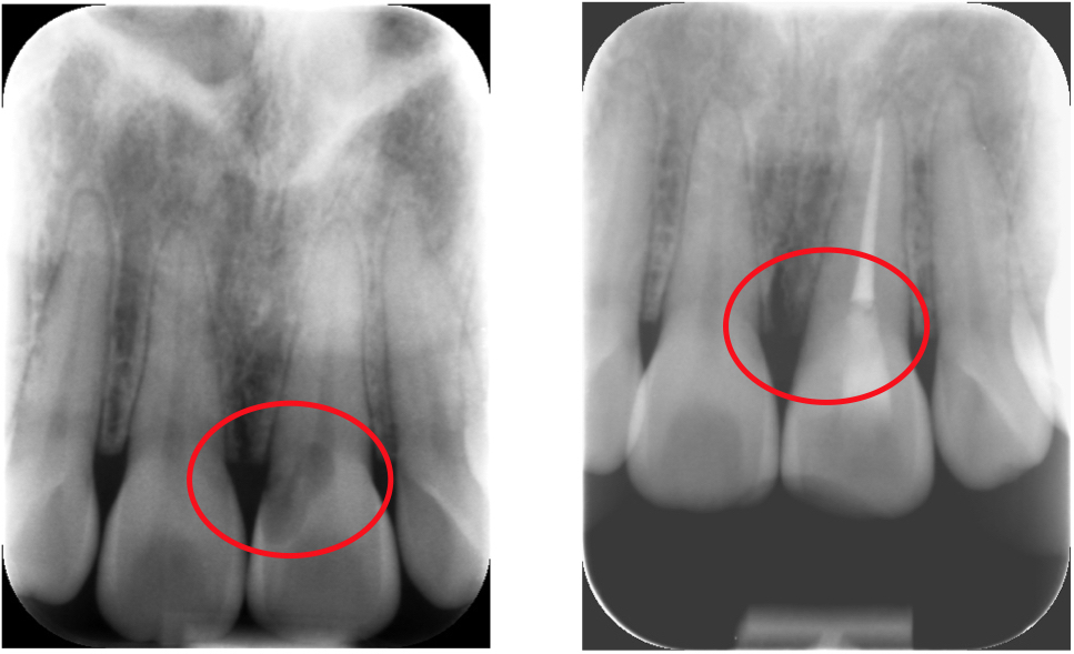
細菌に感染してしまった根管内の神経を
除去します。
細菌が少しでも残ると再発リスクが高まるのでラバーダムを使用して唾液の侵入を防ぎ、殺菌洗浄を行います。
細菌を徹底除去した後、根管に細菌の侵入を防ぐために根管に薬剤を充填します。
流し込んだ薬剤が固まったら歯の内部に細菌が入らないように被せ物を装着して完了です。
通常の根管治療を行っても症状が良くならない場合には外科的根管治療が必要となってきます。
歯根の外側に感染が及んでいる場合、通常の根管治療では感染源を除去することができないため、感染部位周辺の歯肉から感染源に直接アプローチする必要があります。
感染部周辺の歯肉を切開し、歯根の先端の病変部分を露わにします。
歯槽骨に穴を開け歯の根本から根管治療を行い、感染源を除去します
感染源を除去した後、感染している歯根の先端も取り除きます。
詰物をして歯槽骨の回復を待ち、切開部を縫合して完了です。
| 医院名 | 二番町デンタルオフィス |
|---|---|
| アクセス | 〒790-0002 愛媛県松山市二番町三丁目4番地17 大街道駅県庁前駅より徒歩5分 |
| 電話番号 | 089-941-4602 |
| 診療時間 | 平日 9:00〜13:00 / 14:00〜18:00 |
| 休診日 | 火・土午後・日・祝(第1・第3土曜は休診日) |