実際の治療ケース
CASE
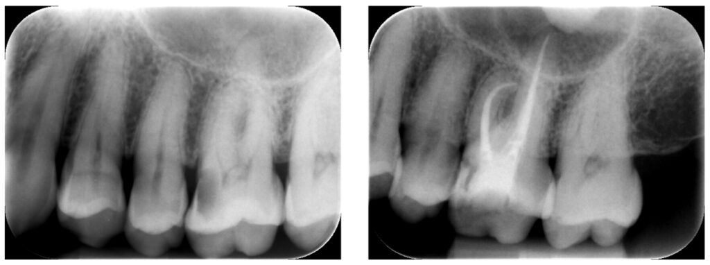
症例30:C3、症状無し歯髄炎
主訴
痛くないけど虫歯があり、神経の治療が必要といわれた。本当に必要か診てほしい
治療内容
30代男性、他院で指摘されたカリエスを精密根管治療させていただきました。
治療期間(回数)
2回
治療費用(税込)
15万+税
治療詳細
根菅の再感染の防止を行いました。
CASE
痛くないけど虫歯があり、神経の治療が必要といわれた。本当に必要か診てほしい
30代男性、他院で指摘されたカリエスを精密根管治療させていただきました。
2回
15万+税
根菅の再感染の防止を行いました。
[ 住所 ] 〒790-0002 愛媛県松山市二番町三丁目4番地17
[ アクセス ] 市内電車 大街道駅・県庁前駅より徒歩5分
| 月 | 火 | 水 | 木 | 金 | 土 | 日 | 祝 | |
|---|---|---|---|---|---|---|---|---|
| 09:00-13:00 | 〇 | 〇 | 〇 | 〇 | 〇 | 〇 | - | - |
| 14:00-18:00 | 〇 | 〇 | 〇 | 〇 | 〇 | 〇 | - | - |