インプラント
IMPLANT
失った歯を取り戻し、健やかな生活を
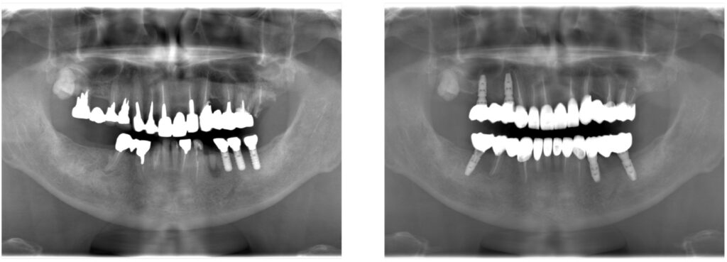
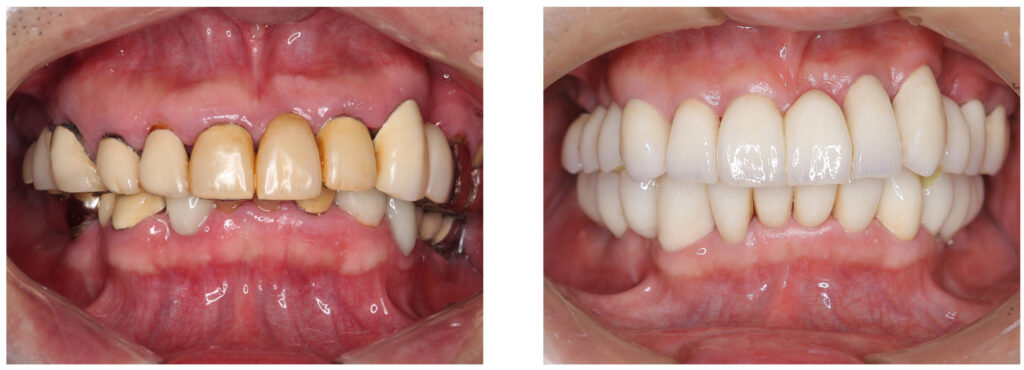
ご自身の大切な歯を失ってしまった場合にはインプラント治療が有効な治療のうちの一つです。当院では精密な歯科治療で歯を削らないように心がけていますが、外傷や歯周病、虫歯などで歯を失ってしまった方には天然の歯とほぼ同等の噛む力を取り戻せるインプラント治療もおすすめしています。
歯を失ってしまっても健やかな生活を送れるように、第2の永久歯ともいわれているインプラント治療で人工歯を装着するサポートを当院でいたします。インプラント治療で不安に感じている方もご安心ください。メリットとデメリットも含めて丁寧にご説明させていただき患者さまに寄り添った治療をしていきます。
第2の永久歯、インプラント治療とは
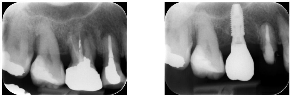
インプラントとは、歯が無い顎の骨に人工歯根を埋め込み、それを土台にしてセラミックの歯を装着する治療です。
顎の骨に固定した人工歯根を固定するため、自分の歯のように食事をすることができ、見た目も自然に仕上がるので第2の永久歯とも呼ばれています。従来のブリッジ・入れ歯などの治療法とは違い、歯根も取り戻すことができるのが特徴です。しかし、歯根を埋め込むので手術が必要になるというデメリットもあります。
そのため、インプラント治療を受ける際はメリット・デメリットをしっかりと把握することが重要です。
インプラントの
メリット、デメリット
メリット
-
01
咀嚼機能の改善
インプラントによって天然の歯とほぼ同等の噛む力を取り戻せるので食事をしっかりと噛んで行うことができます。
-
02
他の健康歯を守れる
ブリッジや入れ歯の治療をする際に健康な残っている歯を削らなければいけないケースもあります。インプラントでは健康な歯に影響を及ぼさずに独立した治療を行うことができます。
-
03
装着の違和感がない
入れ歯の場合は使用中にずれて痛みを感じたりする場合がありますが、インプラントでは骨に埋め込んで固定するので入れ歯のようにずれが発生せず、装着の違和感がありません。
-
04
顎の骨がやせるのを防げる
天然の歯は歯根が顎に入っているので、歯を失うと顎の骨は痩せてしまいます。
インプラントであれば人工の歯根を顎の骨に埋め込むので顎骨が痩せるのを防げます。
デメリット
-
01
手術が必要
しっかりと麻酔を行いますので痛みはほとんど感じませんが人工歯根を骨に埋め込むので手術が必要になります。
-
02
治療期間が長い
顎の骨に結合するのを待たないといけないため、治療期間が長くなってしまいます。骨の状態によりますが、長い人で半年ほど治療期間がかかってしまいます。
-
03
自費治療のため治療費が高額
インプラントは原則的に保険適用外診療となってしまうため、どうしても他の治療に比べると高額になってしまいます。しかし、手入れをしっかり行えば第2の永久歯として活用ができる治療です。
インプラントの手術の流れ
-
01
歯肉を切開し,あごの骨に穴を開ける
カウンセリング、精密検査を行った後に患者さまに治療計画の説明をしてインプラント手術へと進みます。
まず一次処置としてインプラント埋込作業になります。
-
02
インプラントを埋める
歯ぐきを切開し、穴を作り人工歯根を顎の骨に埋め込んでいきます。
その後、インプラントと骨が結合するのを待つため、2~3か月ほど待期期間となります。
-
03
骨としっかり結合したのを確認し、アバットメントを装着
次に二次処置アバットメント取付作業になります。
骨と結合しているのを確認して、インプラントにアバットメントを装着します。
-
04
人工歯の被せ物を装着
二次処置が終わり、歯ぐきの状態が落ち着いたら最後に型取り工程です。
人工歯の被せ物の型取りをして、上部構造を作製し取り付けたら完成です。
当院インプラント治療について
二番町デンタルオフィスでは治療前のカウンセリングで患者さまのお悩みや不安をお伺いしています。インプラント治療は患者さまの不安も多いので歯科医師と患者さまの信頼関係が大切と考えています。インプラントの治療方法についてヒアリングした内容をもとに丁寧にご説明させていただくことで、安心してお任せいただけるようなインプラント治療をご提供しています。
料金表
PRICE
※価格は税込です
インプラント
| 前歯埋入(補綴含む)・1本分 | ¥605,000 |
|---|---|
| 臼歯埋入(補綴含む)・1本分 | ¥495,000 |
| サイナスリフト | ¥220,000 |
| ソケットリフト | ¥110,000 |
| GBR(範囲により⾦額が変動します) | ¥110,000〜¥220,000 |
| All on 4 | ¥3,300,000 |
| ボーンアンカードブリッジ | 1本あたり¥440,000 + ポンティック代 |
| 上部構造ポンティック | ¥110,000 |
| オーバーデンチャー (上顎・4本埋入) |
¥2,200,000 |
| オーバーデンチャー (下顎・2本埋入) |
¥1,320,000 |
| スクリュー1本 (インプラントアンカー) |
¥6,600 |
関連コラム
-
2025.11.10インプラント治療について
愛媛県松山市の歯医者「二番町デンタルオフィス」です。 今回は「インプラント治療」について解説していきます。 歯を失ってしまった場合、そのまま放置すると、噛み合わせのバランスが崩れたり、 周囲の歯が移動してしまうことがあり
#インプラント -
2025.07.15インプラントと入れ歯の違い
今回はインプラントと入れ歯の違いについて解説していきます。 インプラントと入れ歯は、どちらも歯を失った際の治療法ですが、構造や機能に大きな違いがあります。インプラントは、顎の骨にチタン製の人工歯根を埋め込み
#インプラント#入れ歯 -
2025.06.17インプラントのメンテナンスについて
今回はインプラントのメンテナンスについて解説していきます。 インプラントは人工歯根を顎の骨に埋め込み、その上に人工歯を固定する治療ですが、治療後のメンテナンスが非常に重要です。天然の歯のように虫歯にはなりま
#インプラント


