実際の治療ケース
CASE
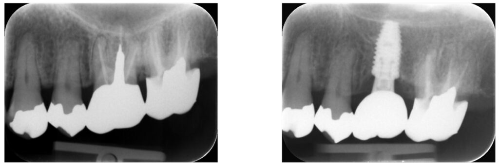
症例40:歯根破折している歯の抜歯とインプラント治療
主訴
昔保険の治療で治した歯が痛い、腫れている
治療内容
歯根破折している歯の抜歯、インプラント治療をする。
治療期間(回数)
6ヶ月
治療費用(税込)
45万+税
治療詳細
痛みや腫れの除去しっかり噛める咬合関係の確立。
CASE
昔保険の治療で治した歯が痛い、腫れている
歯根破折している歯の抜歯、インプラント治療をする。
6ヶ月
45万+税
痛みや腫れの除去しっかり噛める咬合関係の確立。
[ 住所 ] 〒790-0002 愛媛県松山市二番町三丁目4番地17
[ アクセス ] 市内電車 大街道駅・県庁前駅より徒歩5分
| 月 | 火 | 水 | 木 | 金 | 土 | 日 | 祝 | |
|---|---|---|---|---|---|---|---|---|
| 09:00-13:00 | 〇 | 〇 | 〇 | 〇 | 〇 | 〇 | - | - |
| 14:00-18:00 | 〇 | 〇 | 〇 | 〇 | 〇 | 〇 | - | - |