実際の治療ケース
CASE
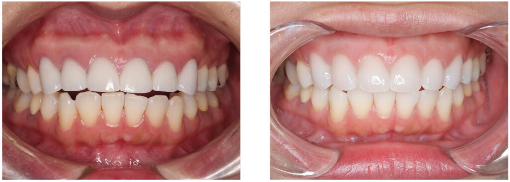
症例34:審美治療3
主訴
笑った時に綺麗な笑顔にしてほしい、歯肉が腫れてる
治療内容
30代女性、セラミック、ホワイトニングにて治療させていただきました。
治療期間(回数)
6ヶ月
治療費用(税込)
81万+税
治療詳細
他院で行った審美治療をセラミックにより再治療、天然歯をホワイトニングさせていただきました。審美面を改善させるとともに、連結された被せ物を外し、単独での治療を行いました。歯周病の改善を行いました。
CASE
笑った時に綺麗な笑顔にしてほしい、歯肉が腫れてる
30代女性、セラミック、ホワイトニングにて治療させていただきました。
6ヶ月
81万+税
他院で行った審美治療をセラミックにより再治療、天然歯をホワイトニングさせていただきました。審美面を改善させるとともに、連結された被せ物を外し、単独での治療を行いました。歯周病の改善を行いました。
[ 住所 ] 〒790-0002 愛媛県松山市二番町三丁目4番地17
[ アクセス ] 市内電車 大街道駅・県庁前駅より徒歩5分
| 月 | 火 | 水 | 木 | 金 | 土 | 日 | 祝 | |
|---|---|---|---|---|---|---|---|---|
| 09:00-13:00 | 〇 | 〇 | 〇 | 〇 | 〇 | 〇 | - | - |
| 14:00-18:00 | 〇 | 〇 | 〇 | 〇 | 〇 | 〇 | - | - |